Ideata negli anni Ottanta dal chirurgo e ricercatore Camillo Ricordi, la Ricordi Chamber ha reso possibile isolare in modo affidabile le isole pancreatiche produttrici di insulina, aprendo la strada al trapianto di isole e alle moderne terapie cellulari per il Diabete di tipo 1.
Nel campo della ricerca sul diabete esistono alcune innovazioni che hanno cambiato radicalmente il modo di studiare e trattare la malattia. Tra queste, una delle più importanti è senza dubbio la Camera di Ricordi, un dispositivo sviluppato negli anni Ottanta dal chirurgo e ricercatore Camillo Ricordi.
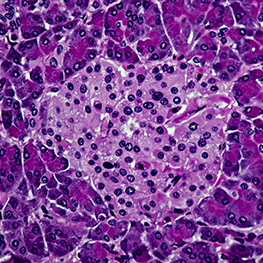
Questa tecnologia ha reso possibile isolare in modo efficiente le isole pancreatiche, le strutture del pancreas che contengono le cellule β responsabili della produzione di insulina. La possibilità di ottenere queste cellule in quantità e qualità adeguate ha rappresentato una svolta per la ricerca sul diabete e ha permesso lo sviluppo del trapianto di isole pancreatiche, oggi considerato una delle strategie più promettenti per il trattamento del diabete di tipo 1.
Il problema scientifico: isolare il 2% del pancreas
Nel pancreas umano le isole pancreatiche rappresentano solo circa il 2% del volume totale dell’organo, mentre il restante 98% è costituito da tessuto ghiandolare esocrino, deputato alla produzione del succo pancreatico, essenziale per la digestione.
Separare queste minuscole strutture dal resto del pancreas è stato per molti anni uno dei problemi tecnici più complessi della diabetologia sperimentale. I primi protocolli di isolamento erano poco efficienti e spesso richiedevano più pancreas da donatore per ottenere una quantità sufficiente di isole per un singolo trapianto.
Negli anni Ottanta la ricerca aveva quindi bisogno di un sistema capace di combinare:
- digestione controllata del tessuto pancreatico
- protezione delle isole pancreatiche durante il processo
- elevata resa cellulare
- riproducibilità del metodo nei diversi laboratori
La risposta arrivò con l’invenzione della Camera di Ricordi.
Come funziona la Camera di Ricordi
Il dispositivo ideato da Ricordi è alla base del cosiddetto “metodo automatizzato di isolamento delle isole pancreatiche”, descritto per la prima volta nel 1988.
Il sistema utilizza una camera di digestione meccanico-enzimatica che consente di dissociare il pancreas in modo controllato preservando l’integrità delle isole pancreatiche.
Il processo avviene in diverse fasi:
- Perfusione enzimatica
Il pancreas viene perfuso attraverso il dotto pancreatico con enzimi digestivi, come la collagenasi, che iniziano a sciogliere la matrice extracellulare del tessuto pancreatico.
- Digestione nella Ricordi Chamber
Il pancreas viene inserito nella camera di digestione, dove l’azione combinata di enzimi, agitazione meccanica e temperatura controllata consente la separazione progressiva delle isole pancreatiche dal tessuto circostante.
- Raccolta e purificazione delle isole
Le isole liberate vengono progressivamente raccolte e successivamente purificate tramite gradienti di densità, ottenendo preparazioni cellulari con elevata purezza e vitalità.
Questo metodo ha dimostrato di produrre oltre 160.000 isole per pancreas con una purezza media superiore al 70%, mantenendo l’integrità morfologica delle cellule β e la loro capacità di rispondere al glucosio.
Una svolta per il trapianto di isole pancreatiche
L’introduzione della Camera di Ricordi ha avuto un impatto decisivo nello sviluppo del trapianto di isole pancreatiche.
Grazie a questa tecnologia è diventato possibile ottenere quantità sufficienti di isole da pancreas umano per applicazioni cliniche, aprendo la strada ai primi programmi di trapianto e ai successivi protocolli clinici sviluppati negli anni Novanta.
Il metodo automatizzato di isolamento delle isole è infatti diventato rapidamente lo standard internazionale per la lavorazione del pancreas umano, contribuendo allo sviluppo di numerosi studi clinici di trapianto cellulare.
Impatto globale sulla ricerca
A distanza di oltre quarant’anni dalla sua introduzione, la Camera di Ricordi rimane la tecnologia di riferimento per l’isolamento delle isole pancreatiche nei laboratori di ricerca di tutto il mondo.
Il metodo ha permesso di:
- migliorare la qualità delle preparazioni cellulari
- standardizzare i protocolli di isolamento
- supportare programmi di trapianto di isole pancreatiche
- favorire lo sviluppo di nuove terapie cellulari per il diabete
Oggi questa tecnologia continua a essere utilizzata in numerosi studi di medicina rigenerativa, nello sviluppo di cellule β derivate da cellule staminali e nei programmi di pancreas bioartificiale.
Schema semplificato della Camera di Ricordi
PANCREAS DEL DONATORE
↓
Perfusione con enzimi digestivi
(collagenasi nel dotto pancreatico)
↓
Inserimento nella CAMERA DI RICORDI
(digestione meccanico-enzimatica controllata)
↓
Separazione progressiva del tessuto pancreatico
↓
Raccolta delle isole pancreatiche
↓
Purificazione con gradienti di densità
↓
PREPARAZIONE DELLE ISOLE PER RICERCA
O TRAPIANTO CELLULARE
Le tappe della Camera di Ricordi
Per comprendere l’impatto di questa innovazione, è utile ripercorrere alcune delle principali tappe che negli ultimi quarant’anni hanno trasformato la Camera di Ricordi da intuizione di laboratorio a tecnologia fondamentale della diabetologia moderna.
References
- Diabetes Research Institute. The Ricordi Chamber.
- Piemonti L, Pileggi A – 25 Years of the Ricordi Automated Method for Islet Isolation. CellR4 Repair Replace Regen Reprogram 2013;1(1):e128
- Lakey JR et al – Development of an automated computer-controlled islet isolation system. Cell Transplant 1997 Jan-Feb;6(1):47-57
- Ricordi C et al – Human islet isolation and allotransplantation in 22 consecutive cases. Transplantation 1992 Feb;53(2):407-14
- Ricordi C, Lacy PE, Scharp DW – Automated islet isolation from human pancreas. Diabetes 1989 Jan:38 Suppl 1:140-2
- Ricordi C, Lacy PE, Finke EH, Olack BJ, Scharp DW – Automated method for isolation of human pancreatic islets. Diabetes 1988 Apr;37(4):413-20





